澳洲動物博覽會 飼主為贏不擇手段
記者 李娉婷/綜合報導
每年9月,在澳洲的皇家墨爾本展覽場(Melbourne Showgrounds)都會舉辦名為「皇家墨爾本秀」(Royal Melbourne Show)的農業博覽會,時間持續10天,並有數種動物競賽,各類畜主帶著體態優良的動物角逐最高殊榮藍絲帶獎,是一年一度的動物盛會,但今年卻有業界人士爆料,有些畜主為了贏得比賽,不惜幫狗裝假睪丸、將空氣注入乳牛乳房、讓馬服用鎮定劑、給貓染色等,造成動物痛苦。

據澳洲媒體《The Age》報導,在皇家墨爾本秀服務了近50年的獸醫師沃斯(Hugh Wirth)舉例表示,有些飼主會幫已絕育的狗兒裝假睪丸,以增加牠們獲獎的機會;1966年一隻贏得首獎的黑色雞最後被發現是由白毛染色而來;沃斯還見過乳牛乳房被灌入空氣的案例,但這可能會使牠們感染急性乳腺炎。

自1990年來就以澳洲絲毛㹴(silky terrier)參賽的華倫(Marilyn Warren)表示,不論是在哪個品種,幫狗染色的情況都非常普遍,儘管這已經違反規則,「為了贏得藍絲帶,有些人走向了極端,這非常令人難過」,華倫說,在展覽中可以看見同一隻狗,在會期內出現不同的顏色。
一位在大會展了30年貓咪的參賽廠商表示,貓的染色情形也時有所聞,有些飼主還會拔下顏色較不討喜的毛髮。

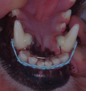
還有匿名參賽者表示,一些狗主會給狗兒接上假毛、植牙或戴上牙套,都所費不貲,「有很多不堪的事在狗比賽中發生」,雖然可以向大會檢舉,卻需要花費250澳幣(約台幣5800元),不過如果檢舉屬實,大會將會退還款項,這也是為了避免參賽者惡意檢舉。
不過皇家墨爾本秀的首席獸醫師布萊伍(Charlie Blackwood)則認為作弊情況相當罕見,若獸醫師進行外科手術去調整動物外貌,他們將被撤銷執照。
